
/ Modelos de Aparelhos
Modelos de aparelhos
![]()
MODELOS DE APARELHOS
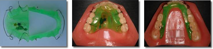
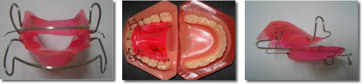
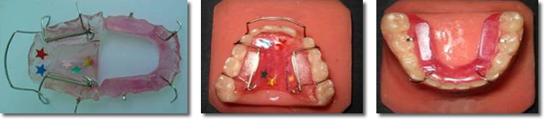
Os Aparelhos Ortopédicos Funcionais são removíveis e compostos basicamente de fios de aço inoxidável, expansores medianos e/ou expansores unilaterais e resina acrílica.
Abaixo alguns modelos de aparelhos ortopédicos funcionais.
![]()
APARELHOS ORTOPÉDICOS FUNCIONAIS
![]()
PLANAS SIMPLES

![]()
PLANAS COMPOSTO

![]()
PLANAS COMPOSTO COM EQUIPLAN

![]()
PLANAS PROGENIA

![]()
BIMLER A

![]()
BIMLER B

![]()
BIMLER C

![]()
FRANKEL

![]()
SN2 SIMPLES

![]()
SN 2 DUPLO

![]()